Главная » Заболевания » Женское бесплодие

Женское бесплодие

Диагноз женского бесплодия констатируется тогда, когда при полноценной половой жизни без контрацепции и при условии здорового второго партнера в течение года у женщины не наступает беременность. В связи с более сложной физиологической особенностью женщин примерно в 60% случаев бездетности причина кроется в женском бесплодии, являющимся результатом каких-либо заболеваний или врожденных патологий.

Виды женского бесплодия

По факту имеющихся в анамнезе предыдущих беременностей, виды женского бесплодия подразделяются на первичную и вторичную патологию.

Диагноз первичное бесплодие ставиться в случае никогда не возникавшей беременности на протяжении всей половой жизни без контрацепции. Обычно подобное бесплодие вызывается врожденными патологиями в строение полового органа, нарушениями его функций или на генетическом уровне изменениями в хромосомах.

Приобретенное или вторичное женское бесплодие возникает вследствие различных заболеваний, например психогенных расстройств, эндокринной или соматической патологий, инфекционных заражений, экологических проблем и пр. факторов.

Причины женского бесплодия

Виды женского бесплодия классифицируются и по нарушениям репродуктивной системы, вызванным различными причинами.

Часто причиной женского бесплодия становиться непроходимость фаллопиевых труб, спровоцированная их блокировкой. Подобный факт имеет место при блокировании транспортировки половых клеток вследствие образования внутри труб или на внешней поверхности спаек. Спайки могут сформироваться в результате сложных родов, абортов, гинекологических операций или воспалительных заболеваний женской половой системы.

Заболевания эндокринной системы у женщины могут повлечь за собой как осложнение такую форму патологии как эндокринное бесплодие. При эндокринном бесплодии происходит искажение процесса образования и вызревания яйцеклеток, способных к оплодотворению. В связи с неполноценностью яйцеклетки не происходит ее оплодотворение. Причина развития эндокринного бесплодия кроется в гормональных сбоях эндокринных желез надпочечников, яичников и щитовидной железы.

Чаще всего к вспомогательной репродукции при нарушениях эндокринной системы прибегают женщины с поликистозом яичников. При этом заболевании происходит повышенная выработка андрогенов и на этом фоне в кистах яичников скапливаются незрелые фолликулы с яйцеклетками, погибшими и не вышедшими для оплодотворения, т.е. отсутствует овуляция.

Причинами женского бесплодия могут быть различные заболевания, после лечения которых способность забеременеть восстанавливается. К подобным нарушениям относятся эндометриоз, болезни шейки матки (дисплазия, цервицит, эрозия), инфекционные заболевания и пр.

К причинам женского бесплодия можно отнести и ранний климакс, т.е. преждевременное прекращение функции яичников. Иногда в результате, каких либо заболеваний или частых стрессов у женщин развивается раннее прекращение или нарушение менструаций. Но обычно вовремя предпринятое гормональное лечение дает положительный эффект. Стрессовые ситуации способны вызвать временное бесплодие, которое после нормализации психологического равновесия восстанавливается.

Существует такая форма патологии как абсолютное бесплодие. Причинами данной формы может быть полное (чаще всего первичное) отсутствие труб, матки или яичников, отсутствие функции созревания яйцеклеток и др. генетические аномалии.

К сожалению, примерно в 25% случаев бесплодия причину его установить не удается. В этом случае говорят об идиопатическом бесплодии, т.е. патологии неясного происхождения.

Исходя из вышеизложенного, можно говорить о том, что женское бесплодие может быть абсолютным и относительным, т.е. его можно скорректировать различными методами лечения.

Женское бесплодие: диагностика

Обследование женщин для выявления причины бесплодия довольно дорогостоящий и длительный процесс. И не только с финансовой точки зрения, но и с моральной. Не каждая женщина может вынести длительные диагностические процедуры и моральный дискомфорт. На диагностику женского бесплодия уходят многие месяцы, т.к. полное обследование проводится в течение четырех-пяти менструальных циклов, а иногда и дольше.

Причина длительности диагностики заключается в том, некоторые процедуры, несовместимы друг с другом и тесты проводятся только в дни менструального цикла определенные методикой обследования.

Проводится исследование анамнеза, гинекологический осмотр назначаются анализы. В обязательном порядке проверяется наличие урогенитальных инфекций, изучается мазок микрофлоры влагалища, ультразвуковое исследование органов малого таза.

Проверяется кровь из вены (5-7 день менструации) для выявления гормонального дисбаланса.

Вспомогательным средством при диагностике женского бесплодия является измерение по графику базальной температуры для определения времени овуляции. Наиболее достоверным способом выявления срока овуляции считается биопсия внутриматочных тканей.

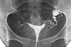
Проходимость маточных труб выявляется рентгенологическим обследованием, лапаротомией или гистеросальпингографией.

Женское бесплодие: лечение

В зависимости от причины бесплодия назначается либо дополнительные обследования, либо методы лечения.

К одним из методов лечения женского бесплодия относится половой акт, проводимый в период наиболее благоприятный для зачатия. Он совершается на основе высчитанного срока овуляции.

При необходимости проводится гормональная терапия для корректировки гормонального фона, нормализации и активации выработки яйцеклеток.

Применяется метод инсеминации (при незначительных гормональных нарушениях), т.е. введение спермы партнера в матку в благоприятный период. Перед процедурой проводится стимуляция яичников гормональными средствами.

Если исчерпаны предыдущие методы предлагается экстракорпоральное оплодотворение. При этом методе оплодотворение происходит вне матки, и затем уже оплодотворенное яйцо внедряется в ее полость.

Если организм женщины не способен вырабатывать собственные яйцеклетки или при тяжелых генетических патологиях предлагается использовать донорских яйцеклетки. При этом возможны варианты – внедрение донорских яйцеклеток в бесплодную матку или суррогатное материнство. В случае суррогатного материнства ребенка вынашивает другая женщина.

Женское бесплодие: профилактика

К мерам профилактики женского бесплодия необходимо отнести здоровый образ жизни, обязательное и доведенное до конца лечение урогенитальных инфекций, упорядоченную половую жизнь, лечение воспалительных процессов, избегание абортов, особенно при первой беременности.

Профилактика женского бесплодия немыслима без регулярного посещения гинеколога, т.к. своевременно принятые меры помогут избежать негативных последствий.